
목차
👉[직장인 건강] 하지정맥류 부종 완화: 오래 서서 일하는 당신을 위한 혈관 건강 관리 완벽 가이드 확인하기
서론
현대 사회에서 많은 직장인들이 하루 종일 서서 일하는 환경에서 일하고 있습니다. 특히 소매업, 요식업, 공사 현장 등에서 일하는 사람들은 오랜 시간 동안 같은 자세를 유지해야 하는 경우가 많습니다. 이러한 생활 습관은 하지정맥류와 같은 혈관 건강 문제를 유발할 수 있습니다. 하지정맥류는 다리의 정맥이 비정상적으로 늘어나거나 휘어지면서 생기는 질환으로, 통증, 부종, 피로감 등을 동반할 수 있습니다. 이 문제를 예방하고 완화하기 위해서는 적절한 관리와 생활 습관의 변화가 필요합니다.

따라서, 이 글에서는 오래 서서 일하는 직장인들을 위해 하지정맥류 부종 완화에 필요한 다양한 방법을 소개하고자 합니다. 혈관 건강 관리에 대한 올바른 정보와 실질적인 팁을 제공하여, 여러분이 건강한 직장생활을 유지할 수 있도록 도와드리겠습니다. 특히, 일상에서 쉽게 실천할 수 있는 운동 및 식습관 개선 방법을 중심으로 이야기할 것입니다.
하지정맥류란 무엇인가?
하지정맥류는 다리의 정맥이 확장되고 비정상적으로 늘어나면서 발생하는 질환입니다. 정맥이 비정상적으로 늘어나는 이유는 주로 혈액이 원활하게 흐르지 못하고 정체되기 때문입니다. 이러한 현상은 특히 오랜 시간 서 있는 자세를 유지하는 사람들에게 흔히 발생합니다. 하지정맥류의 주요 증상으로는 다리의 통증, 피로감, 부종, 그리고 피부 색소 변화 등이 있습니다.
이 질환은 단순한 미용상의 문제가 아닙니다. 초기 단계에서 적절한 관리가 이루어지지 않으면 심각한 합병증으로 발전할 수 있습니다. 예를 들어, 혈전 형성과 같은 혈관 질환이 발생할 수 있으며, 이는 생명을 위협할 수도 있습니다. 그러므로, 하지정맥류에 대한 이해와 예방은 필수적입니다.
부종의 원인과 영향
부종은 신체의 특정 부위에 체액이 비정상적으로 축적되어 나타나는 현상입니다. 하지정맥류와 관련하여 부종이 발생하는 이유는 혈액이 다리 정맥에서 원활하게 흐르지 못하고 정체되기 때문입니다. 이로 인해 다리의 조직에 체액이 축적되어 부풀어 오르게 됩니다. 이러한 상태는 불편함을 초래할 뿐만 아니라, 장기적으로는 피부 및 혈관 건강에 악영향을 미칠 수 있습니다.
부종은 또한 다양한 생활습관과 직결됩니다. 특히, 수분 섭취가 부족하거나, 나트륨이 과다한 식사를 하는 경우, 신체의 수분 균형이 깨져 부종이 더 심해질 수 있습니다. 따라서, 일상에서의 식습관의 변화와 체액 조절이 중요합니다. 이를 통해 부종을 예방하고 혈관 건강을 유지할 수 있습니다.
👉[직장인 건강] 하지정맥류 부종 완화: 오래 서서 일하는 당신을 위한 혈관 건강 관리 완벽 가이드 바로보기
혈관 건강을 위한 운동법

하지정맥류와 부종을 예방하기 위해서는 꾸준한 운동이 필수적입니다. 특히, 다리 혈액 순환을 촉진하는 운동을 통해 하지정맥류의 예방과 완화 효과를 기대할 수 있습니다. 다음은 추천하는 운동법입니다:
- 걷기: 매일 30분 이상 걷는 것은 혈액 순환을 돕고 하지정맥류 예방에 효과적입니다.
- 종아리 스트레칭: 서서 진행할 수 있으며, 혈액 순환을 촉진시키는 데 도움이 됩니다.
- 자전거 타기: 자전거를 타는 것은 다리 근육을 강화시키고 혈액 흐름을 좋게 합니다.
이 외에도, 간단한 다리 올리기 운동이나 발목 회전 운동을 통해 혈액 순환을 개선할 수 있습니다. 이러한 운동들은 단시간에 쉽게 할 수 있으며, 직장에서도 사무실 환경에 맞춰 실천할 수 있습니다.
식습관 개선으로 혈관 건강 지키기
혈관 건강을 유지하기 위해서는 건강한 식습관이 필수입니다. 다음은 혈관 건강에 도움이 되는 식단 구성법입니다:
- 과일과 채소: 다양한 색상의 과일과 채소를 포함한 식단은 항산화 물질과 비타민이 풍부하여 혈관 건강을 돕습니다.
- 오메가-3 지방산: 연어, 호두, 아마씨와 같은 오메가-3가 풍부한 음식을 섭취하면 염증을 줄이고 혈액 순환에 긍정적인 영향을 미칩니다.
- 수분 섭취: 충분한 수분 섭취는 혈액의 점도를 낮추고, 혈액 순환을 원활하게 합니다.
이외에도 나트륨 섭취를 줄이고, 가공식품보다는 자연식품 위주의 식단을 유지하는 것이 좋습니다. 건강한 식습관은 하지정맥류 예방뿐만 아니라 전반적인 건강에도 긍정적인 영향을 미치게 됩니다.
생활 습관의 변화
많은 직장인들이 장시간 서 있는 일을 하면서 불가피하게 나쁜 자세를 유지하게 됩니다. 그러므로 일상에서의 작은 변화가 중요합니다. 다음은 생활 습관을 개선하기 위한 몇 가지 팁입니다:
- 올바른 자세 유지: 서 있을 때는 체중을 양쪽 발에 고르게 분산시키고, 몸의 중심을 잡아주는 것이 중요합니다.
- 정기적인 휴식: 매 1시간마다 짧은 휴식을 취하고, 다리를 쉬게 해 주세요. 가능하다면 다리를 올리는 것이 좋습니다.
- 적절한 신발 선택: 높이가 낮고 편안한 신발을 선택하는 것이 좋습니다.
이러한 생활 습관의 변화는 단기적인 효과뿐만 아니라 장기적으로 건강한 혈관 유지에 큰 도움이 됩니다.
정기적인 검진과 치료
하지정맥류는 조기 발견이 중요합니다. 정기적인 건강 검진을 통해 자신의 혈관 상태를 점검하고, 필요할 경우 전문의의 진료를 받는 것이 좋습니다. 다음은 검진 시 유의할 점입니다:
- 다리 통증이나 불편감이 느껴질 경우 즉시 진료를 받도록 합니다.
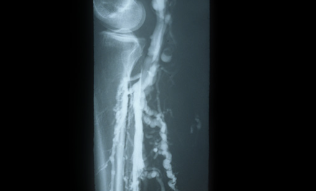
- 정맥초음파 검사와 같은 검진을 통해 정맥 상태를 확인할 수 있습니다.
치료 방법으로는 보존적 치료, 약물 치료, 그리고 수술적 치료가 있으며, 개인의 상태에 따라 적절한 방법을 선택해야 합니다. 전문가와 상담하여 나에게 맞는 치료 방법을 찾아야 합니다.

결론
하지정맥류와 부종 문제는 많은 직장인들이 겪고 있는 현실적인 문제입니다. 이를 예방하고 완화하기 위해서는 꾸준한 관리와 생활 습관의 변화가 필요합니다. 운동, 식습관 개선, 그리고 건강 검진을 통한 조기 발견이 혈관 건강을 지키는 가장 효과적인 방법입니다.
이 글을 통해 여러분이 하지정맥류에 대한 이해를 높이고, 실질적인 해결책을 찾을 수 있기를 바랍니다. 건강한 혈관은 건강한 직장생활의 기본이며, 이를 위해서는 여러분의 적극적인 노력이 필수적입니다. 건강한 내일을 위해 오늘부터 작은 실천을 시작해 보세요.
자주 묻는 질문 (FAQ)
1. 하지정맥류는 누구에게나 발생하나요?
하지정맥류는 특정 직업군에서 특히 많이 발생하지만, 유전적 요인이나 나이, 성별 등 다양한 요인에 따라 누구에게나 발생할 수 있습니다.
2. 하지정맥류를 예방하려면 어떻게 해야 하나요?
정기적인 운동, 올바른 자세 유지, 건강한 식습관이 중요합니다. 또한, 장시간 서 있을 경우 정기적인 휴식과 다리 올리기를 실천하는 것이 좋습니다.
3. 치료 없이 하지정맥류를 관리할 수 있나요?
초기 단계에서는 생활 습관 개선으로 관리할 수 있지만, 증상이 심해지면 전문가의 진료가 필요합니다.
👉[직장인 건강] 하지정맥류 부종 완화: 오래 서서 일하는 당신을 위한 혈관 건강 관리 완벽 가이드 바로보기